Bệnh Chlamydia ở nữ: dấu hiệu nhận biết, biến chứng nguy hiểm
- Đột Quỵ Ở Người Trẻ: Hồi Chuông Cảnh Tỉnh Cho Thế Hệ "Sống Nhanh"
- Ngăn ngừa đột quỵ khi chơi thể thao. Bí quyết để rèn luyện an toàn hơn
- Đột quỵ là gì? Nguy hiểm thế nào? Vì sao cần kiểm tra nguy cơ đột quỵ từ sớm?
- 3 tuyệt chiêu giúp mẹ bảo vệ con khi thời tiết thay đổi thất thường
Bệnh Chlamydia ở nữ là nguyên nhân làm mất khả năng sinh sản, đặc biệt với trường hợp phụ nữ mang thai, bệnh gây ảnh hưởng nghiêm trọng tới thai kỳ: sảy thai, sinh non… Theo khuyến cáo từ bác sĩ phụ khoa, bệnh Chlamydia là căn bệnh nguy hiểm phát triển âm thầm và khó phát hiện các dấu hiệu bệnh.
1. Tìm hiểu bệnh Chlamydia ở nữ giới là gì?
Bệnh Chlamydia ở nữ là một trong những căn bệnh lây đường tình dục do một loại virus có tên là Chlamydia Trachomatis gây ra. Tại Việt Nam căn bệnh Chlamydia ở nữ giới đang có xu hướng tăng mạnh, là có tỷ lệ mắc phải cao hơn nam giới
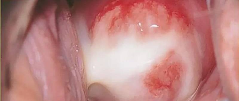
Phụ nữ mắc bệnh Chlamydia sẽ bị dính và tắc vòi tử cung. Khi kiểm tra soi ổ bụng có thể thấy vòi tử cung, buồng trứng bị dính vào phần xung quanh bộ phận sinh dục nữ bởi các dải xơ mỏng.
Bệnh chlamydia ở nữ không khó điều trị, tuy nhiên bệnh được xếp vào các bệnh stds nguy hiểm vì hầu như không có triệu chứng mà phát triển âm thầm cho tới khi gây ra các biến chứng: đi tiểu rát, viêm niệu đạo, dịch tiết cổ tử cung màu trong hoặc vàng…
>> Xem thêm: Tìm hiểu Chlamydia là vi khuẩn gì? Có gây nguy hiểm không?

Bệnh Chlamydia nữ giới, căn bệnh nguy hiểm lây qua đường tình dục
2. Các dấu hiệu bệnh chlamydia ở nữ giới
Các dấu hiệu của bệnh chlamydia ở nữ giới thường rất nhẹ và không biểu hiện rõ ràng, sau dần đến giai đoạn cấp tính thì các triệu chứng mới bắt đầu phát giác mạnh và rõ ràng hơn. Thời gian ủ bệnh chlamydia ở nữ giới từ 1-3 tuần sau khi tiếp xúc với khuẩn chlamydia.
Một số triệu chứng và dấu hiệu của bệnh Chlamydia ở nữ giới được ghi nhận:
+ Dịch trắng xanh xuất ra bất thường ở âm đạo do nhiễm trùng cổ tử cung
+ Nổi rộp mẩn đỏ quanh khu vực âm đạo
+ Đau rát mạnh khi quan hệ tình dục, cơn đau âm ỉ dư âm sau khi quan hệ tình dục xong
+ Xuất hiện máu chảy ra từ âm đạo ngoài ngày hành kinh
+ Khí hư có mùi xuất hiện từ âm đạo
+ Đau ê ẩm vùng bụng dưới lan tỏa sang vùng lưng
+ Buồn nôn, sốt, đổ mồ hôi hột kèm theo chảy máu âm đạo
+ Đau bụng mạnh vùng rốn
Tuy nhiên tùy từng thể trạng cơ thể và chế độ sinh hoạt mà có những biểu hiện khác nữa của bệnh. Nhưng hầu hết tất cả người bệnh mắc chlamydia đều có những triệu chứng phổ biến như đã nêu ở trên.

Phụ nữ mắc bệnh Chlamydia bị đau khi quan hệ
Vùng kín chảy dịch màu trắng vàng do bị nhiễm khuẩn Chlamydia
Chảy máu vùng kín khi quan hệ do nhiễm bệnh Chlamydia
3. Biến chứng nguy hiểm của nhiễm khuẩn chlamydia ở nữ
3.1. Biến chứng vô sinh do bệnh Chlamydia ở nữ
Sau khi mắc bệnh thì vi khuẩn chlamydia bắt đầu tấn công từ ngoài vào, bước đầu gây ra các dải vệt xơ mỏng dính vào hệ sinh sản của phụ nữ và ăn sâu dần vào bên trong âm đạo. Các vệt xơ mỏng này sẽ ngày càng nhiều theo thời gian làm tắc nghẽn tử cung, buồng trứng ngăn chặn không cho tinh trùng tiến vào dẫn đến vô sinh.
Lâu dần hiện tượng viêm cổ tử cung cũng bắt đầu xuất hiện và dần phát triển lên buồng trứng, vi khuẩn một khi đã xâm nhập thì tỷ lệ vô sinh rất cao do cổ tử cung bị ảnh hưởng nặng nề, ngoài ra còn có thể dẫn tới mang thai ngoài tử cung. Thêm vào đó do ảnh hưởng từ viêm vùng chậu cũng có thể tạo cơ hội cho vi khuẩn ăn sâu vào cổ tử cung, vòi trứng, buồng trứng và dẫn đến vô sinh ở nữ giới.

Biến chứng vô sinh do nhiễm vi khuẩn Chlamydia ở nữ
3.2. Nhiễm trùng vùng mắt
Vi khuẩn chlamydia ở nữ cũng là nguyên nhân gây bệnh mắt hột ở nữ giới. Một số các triệu chứng thường đi kèm khi nhiễm trùng vùng mắt do chlamydia gây ra như:
+ Mắt đỏ, hay chảy nước mắt
+ Đau sâu vùng mắt, ngứa ngáy khó chịu
+ Mí mắt trên hoặc dưới có thể bị sưng lên do dụi mắt quá nhiều
+ Thường xuất hiện dịch nhầy vùng kẽ mắt và đuôi mắt
+ Xuất hiện những vết gân máu trong lòng trắng mắt.
+ Viêm trực tràng
Hiện tượng viêm trực tràng cũng có thể xảy ra với nữ giới khi mắc chlamydia. Cụ thể nguyên nhân do quan hệ tình dục với người có sẵn bệnh nền chlamydia thông qua đường hậu môn.
Các biểu hiện khi bệnh nhân có dấu hiệu của viêm nhiễm trực tràng cho nhiễm khuẩn Chlamydia như:
+ Đi nặng ra máu.
+ Ngứa ngáy hậu môn
+ Xuất hiện những cơn đau bụng gắt và dài xung quanh vùng rốn
+ Thường xuyên tiêu chảy đi kèm với nổi hạch vùng bẹn
Nếu bệnh nhân không tiến hành điều trị sớm có thể dẫn đến các tình trạng như: chóng mặt do thiếu máu, loét lở trực tràng và hậu môn, ung thư trực tràng. Những căn bệnh trên đa phần nếu không được chữa trị sớm, bệnh nhân có thể dẫn đến tử vong.
3.3. Gây nhiễm trùng cho trẻ sơ sinh - Biến chứng nguy hiểm của bệnh chlamydia ở phụ nữ mang thai
Ngoài việc bệnh chlamydia gây ảnh hưởng đến khả năng sinh sản thì chính chlamydia cũng có thể nhiễm trùng cho trẻ sơ sinh. Bệnh Chlamydia ở phụ nữ mang thai có thể gây ảnh hưởng nghiêm trọng thời thai nhi và trẻ sơ sinh như: nhiễm trùng.
Trên thực tế trẻ sơ sinh có thể sẽ bị nhiễm trùng vùng mắt và bị viêm kết mạc sau khi được sinh ra, cũng có trường hợp khác trẻ sơ sinh sau khi sinh ra bị viêm phổi do nhiễm vi chlamydia.
Mặc dù các triệu chứng của trẻ vừa sinh ra có thể được điều trị bằng thuốc kháng sinh, tuy nhiên ít nhiều cũng sẽ ảnh hưởng đến hệ miễn dịch của trẻ. Các an toàn nhất đối với trẻ đó là các bà mẹ cần điều trị dứt điểm chlamydia trước khi mang thai con mình.
Ngoài ra, bệnh Chlamydia còn gây nhiều biến chứng nguy hiểm ảnh hưởng tới thai nhi: tăng khả năng sinh non, vỡ màng ối, nhiễm trùng nước ối, tăng khả năng sảy thai. Bởi vậy phụ nữ mang thai mắc bệnh Chlamydia tuyệt đối cần tuân thủ phác đồ điều trị theo tư vấn của bác sĩ chuyên khoa.
>> Tìm hiểu: Bệnh Chlamydia là gì: https://drbinh.com/benh-chlamydia-la-gi-xem-nguyen-nhan-trieu-chung-cach-chua
Chung quy lại bệnh chlamydia ở nữ ảnh hưởng rất nhiều trực tiếp đến sức khỏe và đời sống của người phụ nữ. Không những vậy bệnh còn ảnh hưởng trực tiếp đến trẻ sơ sinh khi mẹ đang mang thai mà có trong mình vi khuẩn chlamydia. Chính vì vậy cần kiểm tra chlamydia thường xuyên để phát hiện sớm và có biện pháp chữa trị an toàn nhất có thể.

































